




European Journal of Pharmaceutical and Medical Research (EJPMR) is a Monthly International Online Research Journal publishing the finest peer-reviewed research in the Pharmaceutical, Medical and Life sciences field on the basis of its originality, and serve as a means for scientific information exchange in the international pharmaceutical and Medical forum. European Journal of Pharmaceutical and Medical Research (EJPMR) publishes original research papers, critical reviews and short communications, case study on the latest developments in the pharmaceutical sciences and medical research with strong emphasis on originality and scientific quality.
EJPMR aims is to serve as a means for updating the scientific knowledge of the international audience in the pharmaceutical and Medical forum and to publish all the original research in field of science so a correlation can be made between these researches. Knowledge gained by such researches can be exposed to all and it can be brought in real utilization as all the branches of science are correlated and will assist all the researchers to potentiate their research capabilities.
EJPMR cover following area
Pharmaceutical Sciences |
Pharmaceutics, Pharmacology, Pharmacognosy & Phytochemistry, Pharmaceutical Chemistry, Pharmaceutical Biotechnology, Pharmacy practice, Pharmacogenomics, Medicinal Chemistry, Molecular Pharmacology, Novel drug delivery system, Nanotechnology, Analytical Chemistry, Organic Chemistry, Natural Chemistry, Polymer Sciences, Clinical Pharmacy |
Medical Sciences |
General Medicine, Public health & hygiene, Tropical diseases, Endocrinology Anatomy, Neurology, Dermatology, Orthopedics, Organ transplantation, Oncology, Pathology, Haematology, Nephrology, Gynecology Ophthalmology Pediatrics, Radiology, Medical Biotechnology, Dentistry, Nursing [All Subject] |
Biological Sciences |
Biochemistry, Biotechnology, Genetics, Microbiology, Molecular Biology, Immunology, Biostatistics, Botany, Zoology, Cytology, Poultry Science, Fishery Science, Marine Biology, Wildlife Biology, Cell Biology, Environmental Sciences, Ecology & Environmental Biology, Veterinary Science |
Abhishek Dwivedi Ph.D.*, Savita Dwivedi, Shanu Dwivedi, Som Singh
View Full article
Ms. Sharma Supriya Jitendra*, Ms. Rashmi R. Shukla, Dr. Tulsidas Mishra, Dr. Pinak Patel, Dr. Pritesh Contractor
View Full article
Dr. Lukong Hubert Shalanyuy,*, Acha Stephane Agum, Ntogwiachu Daniel Kobuh,
Dr. Tanlaka Lucas Mengnjo, Leonard Nyuyseni Randze, Wam Elvis Chongsi, Assimba Myriam Jemima, Juigne Kakeu Stae Patricia
Gewun Braindaline, Dr. Fankep Bertin, Dr. Lukong Hubert Shalanyuy*, Dr. Tanlaka Lucas Mengnjo,
Leonard Nyuyseni Randze, Wam Elvis Chongsi, Assimba Myriam Jemima
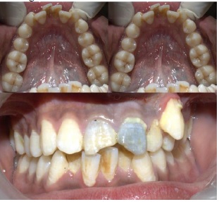
Viganesh Manugade*, Pranav Sargar, Rohan Patil
View Full article
| All | Since 2020 | |
| Citation | 3776 | 2730 |
| h-index | 21 | 19 |
| i10-index | 91 | 61 |
European Journal of Pharmaceutical and Medical Research is giving Best Article Award in every Issue for Best Article and Issue Certificate of Appreciation to the Authors to promote research activity of scholar.